|
透射电镜下线粒体的超微结构特点及常见超微结构病变一、线粒体的结构:线粒体是一种存在于大多数真核细胞中的细胞器,其具有独特的双层膜结构,这种结构将线粒体内部与细胞质分隔开来,形成了相对独立的内部环境,有利于其执行特定的代谢功能。1、外膜:外膜是线粒体zui外层的一层单位膜,平整光滑,与内质网和细胞膜相似,含有孔蛋白(通道蛋白),这些孔蛋白形成的通道允许小分子物质自由通过。主要起保护线粒体内部结构和维持线粒体形态的作用,并参与线粒体与细胞质之间的物质交换。2、内膜:内膜位于外膜内侧,对物质的通透性较低,含有大量与有氧呼吸相关的酶类,如呼吸链的组成成分等。内膜向内折叠形成嵴,嵴的存在大大增加了内膜的表面积。内膜是进行氧化磷酸化过程的关键部位,其中的酶参与电子传递和ATP的合成。3、膜间隙:是外膜和内膜之间的腔隙,其中充满了液体,含有可溶性酶、底物和辅助因子等。膜间隙中的环境有利于某些生化反应的进行,并且在能量转换过程中起到缓冲和传递物质及信号的作用。在电子传递过程中,质子会被泵入膜间隙,形成跨内膜的质子电化学梯度,为ATP的合成提供动力。4、基质:内膜所包围的嵴内空间充满了胶状物质,即线粒体基质。基质中含有丰富的酶系,如参与三羧酸循环的酶、脂肪酸氧化的酶等,还含有线粒体DNA、核糖体、tRNA等。基质是进行三羧酸循环、脂肪酸氧化等重要代谢途径的场所,同时也是线粒体自身遗传物质储存和表达的区域,能够自主合成一部分蛋白质。
线粒体模式图
透射电镜下线粒体超微结构
10000倍放大下,细胞线粒体超微结构
10000倍放大下,细胞线粒体超微结构
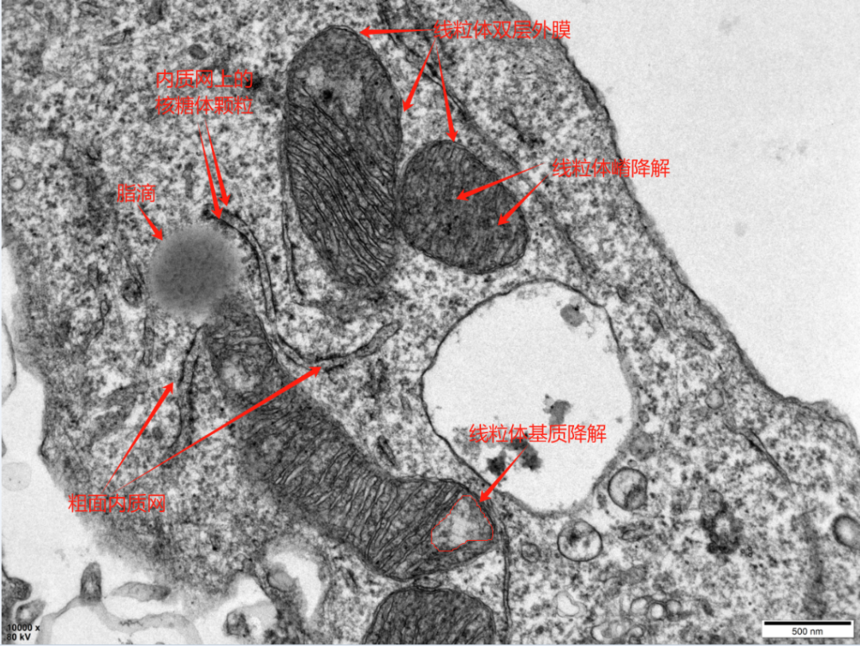
小鼠心肌组织中的线粒体
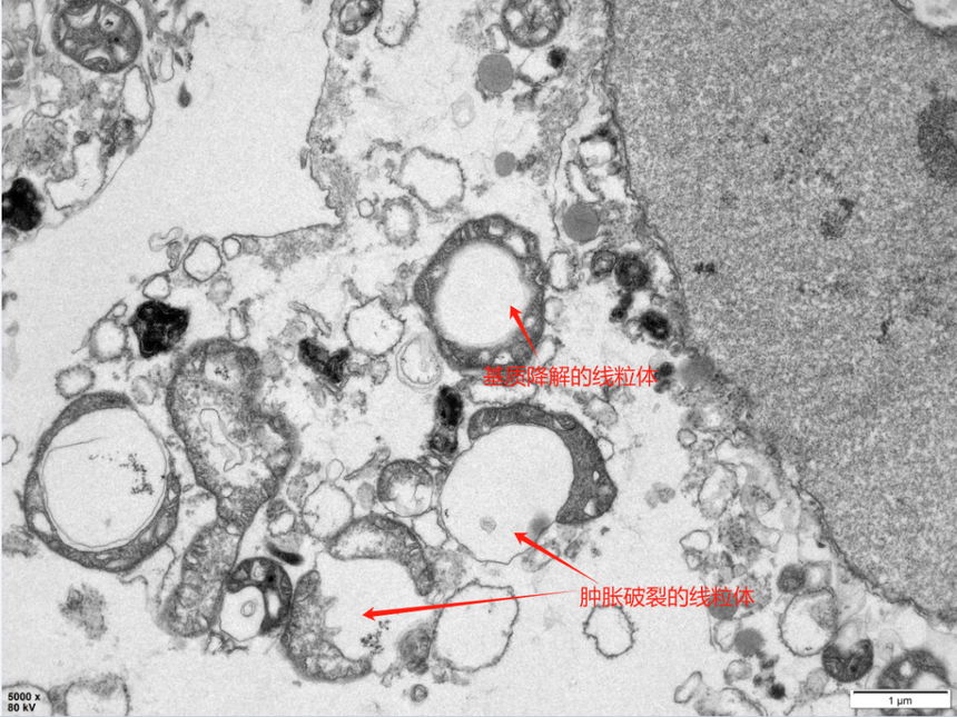
小鼠心肌组织中的线粒体 二、线粒体常见的超微结构病变: 1. 线粒体肿胀空泡化: • 基质肿胀:线粒体基质变稀,电子密度降低,嵴变短,数量减少,甚至消失。严重时,基质内形成多个电子透亮区,最终可能变成空泡状。 • 嵴内间隙肿胀:嵴内间隙(外室)扩张,导致线粒体外室肿胀,内室基质浓缩。 • 线粒体基质电子密度降低,形成空泡,基质颗粒消失,嵴结构变短,zui终可能成为不可逆的细胞坏死标志。
2、 线粒体固缩和凝聚: • 线粒体体积缩小,基质电子密度增加,嵴结构紊乱,常见于细胞凋亡、坏死或功能退化的情况下。
3. 线粒体肥大和增生: • 肥大:线粒体体积增大,但基质浓度不变,嵴的数量正常或增多。常见于心肌、骨骼肌等组织功能需求增加的情况下。 • 增生:细胞内线粒体数量增多,常见于心瓣膜病、骨骼肌肥大等病理状态。
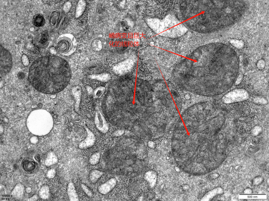
4. 线粒体畸形: • 线粒体形态不规则,体积显著增大,内部结构改变,常见于慢性酒精中毒、营养不良等病理状态。
5. 线粒体自噬: • 线粒体被膜性结构包绕,最终被溶酶体降解,常见于细胞清除受损线粒体的过程中。
另还有线粒体内包涵物(糖原、脂质、结晶)、管泡状线粒体、线粒体分裂、线粒体融合等常见病变。 迈斯普生物专业致力于电镜检测及外泌体相关技术服务的高新技术企业。公司拥有一支完整的高素质技术和销售团队。其中包括武汉大学病理学专业博士2名,硕士1名。实验室配备有2台日本Jeol公司JEM1400型透射式电子显微镜,1台国仪量子扫描电镜SEM3300型扫描电镜。电镜搭载先进的德国 EMSIS 公司,coms相机,高达2000万真实像素。致力于提供真实、高效、品质化科研服务。欢迎咨询送样! |










